This post was earlier cross-posted at Leonid Schneider's site, hence the unfrivolous tone. The version there is improved by Leonid's editing and frame story
I'm sure we're all familiar with the experience: in the course of forging a herbal-remedy paper you invent brain-enhancing properties for some triterpenoid saponin, and then to stake out therapeutic territory for the laboratory you change the paper to be about the properties of a red-clover flavonoid, but you forget to include the Figure legends in the search-and-replace. So what is supposed to be a report on pratensein [22] has Figures that are still all about madecassoside.
If only there were some way that journals could avoid this form of embarrassment by inviting experts in a topic to read through manuscripts and check them for elementary mistakes before they're published. We could call it "peer-reviewing".
In his defense, main author Professor Xing Lin of Guangxi Medical University is a busy man. Imagine the preparation required for the long presentation he gave to students and faculty on 22 October, on "How to quickly write and submit manuscripts to SCI-indexed Journals". Our sources did not report whether he recommended Photoshop, Gimp, or some other software package.
Such was the speed of Lin's skyrocket ascent into the academic empyrean, he was promoted to Professor without the usual formality of acquiring a PhD along the way. Currently he is retrofitting his career with this missing foundation, beginning a full-time Ph.D program in 2018 with 2021 as due completion date, which will ensure that the advice and mentoring he provides to his own doctorate students will be as relevant and experience-based as possible. This is in parallel to his usual teaching / research workload but he has been granted the highest level of Ph.D scholarship to motivate and facilitate his studies. As one consequence of Lin's out-of-sequence career path, the committee responsible for ranking doctorate students and judging their applications for scholarships includes one Professor Xing Lin.
Anyway, the ResearchGate entry for Prof. Lin lists 72 papers between 2010 and 2020 (after excluding Corrigenda and Supplementary Data files and duplication, but including Chinese-language journals that are not accessible in the English-speaking world). I want to stress that the anonymous pedants and perfectionists who patrol the digital trenches at PubPeer have not found any cause for complaint in 24 of those papers, so only 48 have inspired PubPeer threads. See the inevitable spreadsheet here. To whet the readers' appetites, some panels of Fig 6 of "Loss of Raf kinase inhibitor protein is associated with malignant progression in hepatic fibrosis" (Huang et al 2016) [31] (paper numbering follows the spreadsheet). Can the Photoshop clone-stamp tool be worn out by over-use?
Color-reversing Panel C2 and superimposing it on B2 reveals areas of cancellation, for both were derived from the same raw material. The same for panels C1 and B1.


Some of those 48 threads only exist to signal duplications or overlaps of figure panels... minor errors, accidental and easily amended. Two have already attracted responses from the authors, acknowledging the errors and promising to correct them (while a third thread concerns figure panels that had already been replaced without any prompting). Which is to say, the authors are receiving the emails sent out automagically by the PubPeer platform, informing them of criticisms and inviting them to participate in the discussion. They are aware of the general scrutiny. In the cases of minor overlaps where they have not (yet) responded, perhaps they are taking the opportunity to prepare larger-scale corrigenda as part of the replies, and collecting data to replace images where no-one had noticed a problem.
Some duplications are more minor than others. To relabel and re-use one set of colony-assay plates may be regarded as a misfortune; to relabel and re-use two sets looks like carelessness. Figs 1B from "Methyl Helicterate Inhibits Hepatic Stellate Cell Activation Through Modulation of Apoptosis and Autophagy" (Zhang et al 2018) [38] and 2A from "Methyl helicterate inhibits hepatic stellate cell activation through downregulating the ERK1/2 signaling pathway" (Wei et al 2019) [42].
Figs 3A from "Didymin induces apoptosis through mitochondrial dysfunction and up-regulation of RKIP in human hepatoma cells" (Wei et al 2017) [32] and 4B from "Raf Kinase Inhibitory Protein Down-Expression Exacerbates Hepatic Fibrosis In Vivo and In Vitro" (Huang et al 2016) [33].
Anyway, barely 40 papers are distinguished by the presence in their results of deliberate, undeniable forgeries, calling for explanations and the nomination of scapegoats. For instance, Panels 11-III and 11-IV from "Asiatic acid from Potentilla chinensis attenuate ethanol-induced hepatic injury via suppression of oxidative stress and Kupffer cell activation" (Wei et al 2013) [14].


None of the figures in this pictorial corpus present novel forms of fabrication, but they display the virtues of versatility and virtuosity, which is how they earn our attention. Lin is happy to fabricate any of the evidential illustrations that reviewers of biomed journals expect, and after immersing myself in so much of his work, I started wondering if he was avoiding actual experimental results - regarding their use as a final resort, an admission of an inability to fake them. Seriously, the digital assembly of Fig 4A of [38] looks like more work than actual electron microscopy would have been.
To create the scratch-assay images of Fig 3B from [32], blocks of cell-filled texture were cloned and rearranged to fill in gaps, much as one might multiply small groups of supporters to fake a photograph of huge cheering crowds at a presidential inauguration.


Here, flow cytometry. Figures 4C from "Trolline Ameliorates Liver Fibrosis by Inhibiting the NF-κB Pathway, Promoting HSC Apoptosis and Suppressing Autophagy" (Bai et al 2017) [37], and 6D6 from "Methyl helicterte ameliorates liver fibrosis by regulating miR-21-mediated ERK and TGF-β1/Smads pathways" (Huang et al 2019) [41].


The rest of Fig 6D6 from [41] bears comparison with 8B from "Methyl helicterilate ameliorates alcohol-induced hepatic fibrosis by modulating TGF-β1/Smads pathway and mitochondria-dependent pathway" (Wen et al 2019) [46].
And while the Department of Unexpected Similarities is on the line, let's compare Figs 3B of [41] and 2B of "Didymin Alleviates Hepatic Fibrosis Through Inhibiting ERK and PI3K/Akt Pathways via Regulation of Raf Kinase Inhibitor Protein" (Lin et al 2016) [34].
These are all early stages of data collection, and the absence of genuine examples to display can corrode faith in the line-graphs and histograms and significance tests supposedly summarising them. By the same token there are Western Blots aplenty, another larval stage of data. Sometimes bands are merely duplicated between papers, inserted into new contexts with the serial numbers filed off to leave no hint of their other lives. Often bands are extended like a stretched limo by lane duplication to fit the description of an imagined experiment (mirror-imaged, or flipped vertically, or tumbled through 180° to be slightly less blatant about the collage). Sadly there is no room for them in this post. We must content ourselves with Figs 4A and 5A from "Protective effect of Millettia pulchra polysaccharide on cognitive impairment induced by D-galactose in mice" (Lin et al 2014) [15], a kind of electrophoresis stamp collection. Some of its constituent stamps replicated and became Fig 4 of "Antiviral activity of methyl helicterate isolated from Helicteres angustifolia (Sterculiaceae) against hepatitis B virus" (Huang et al 2013) [12]. For the post has been taken over by a gallery of variously-stained tissue-slice microphotographs. The quality of photoshop composition is admirable. Copies of the repeating graphic motifs are rotated, not just displaced. This might sound wild and speculative, but I am not sure that all Fig-4 panels from "Helenalin attenuates alcohol-induced hepatic fibrosis by enhancing ethanol metabolism, inhibiting oxidative stress and suppressing HSC activation" (Lin et al 2014) [20] are entirely natural.


Sometimes they are rotated through 180°, or 90°, but other angles make the repetition less obvious. From "Protective effect of tormentic acid from Potentilla chinensis against lipopolysaccharide/D-galactosamine induced fulminant hepatic failure in mice" (Lin et al 2014) [16], Figs 5A1/2 and 2A4/6:


From "Helenalin from Centipeda minima ameliorates acute hepatic injury by protecting mitochondria function, activating Nrf2 pathway and inhibiting NF-κB activation" (Li et al 2019) [45], Fig 2A.


Touching on [45] gives me an excuse to show Fig 5, increasing the lightness to evoke the background details of fluorescing cells from Stygian gloom, and those details are remarkably repetitious. A lot of work went into Fig 3A from [46], copying a swatch of cells in panel A3 and pasting three more copies across the scene (with a diseased-liver inset concealing the fourth copy in the lower-left corner), to differentiate it from the equally-fictitious panel A4. Color-reversing A4 and superimposing it on A3 dramatises the areas where the images are the same, and cancel out. It turns out that these panels are enlarged reworkings of earlier Panels 11-IV and 11-V of [14], giving us some sense of Lin's pride in his creation.


With its focus on "Millettia pulchra polysaccharide" as a treatment for cognitive impairment (in mice), [15] is exceptional in Lin's oeuvre. Imagine a soundtrack of German electronica while admiring the panels of Fig 7B, where slices of rodent hippocampus emerge from a Max Headroom realm of glitch-ridden simulation...


...or Fig 7C, where they simply overlap.
Livers and pancreases (pancreata?) are better-represented. Lin's laboratory has an arsenal of weapons for inflicting a calibrated dose of liver damage in rats or mice or ducks, and then treating it... porcine serum, lipopolysaccharide, nimesulide, diclofenac, thioacetamide, alcohol and carbon tetrachloride. This may tell us something about rising prosperity in China, and about the untrammeled industries contributing to it.
On the treatment side we meet applications of the classic herbal tradition (drawing on millennia of accumulated experience in recognising C Cl4 poisoning and leaning which herbal combinations treated it most effectively). For TCM : Chairman Xi :: Lysenkoism : Stalin, and no Chinese academics are losing their positions because they pretended to vindicate the curative claims of TCM. Thus pratersein, genistein, didymin, helenalin, Tormentic acid and of course Trolline. The hard work of aligning the arcane symptom constellations of the Yellow Emperor's Inner Canon with modern diagnostic categories like "Type-II Diabetes" is left as an exercise for the reader. Conveniently, Quanfang Huang -- Lin's wife and collaborator on 32 of the problematic papers -- is a professor and physician at a sister institution, the First Affiliated Hospital Of Guangxi Traditional Chinese Medicine University.
This post has referred several times to five sources: [31], [33], [34], [37], [46]. In which I interpolate "Didymin ameliorates hepatic injury through inhibition of MAPK and NF-κB pathways by up-regulating RKIP expression" (Huang et al 2017) [35]. These represent Peak Lin, and if you only have time to read half a dozen papers or their PubPeer threads, they're the ones to choose. [31] leads to this magnificent stained-glass-window, Fig 7D3: I want everyone to appreciate the work that must have gone into it. [46] yields up panels from Fig 4B. 'Actinopolyspora Biskrensis' found the hidden Easter Eggs and adorned them with colored boxes.


Not to forget the fearful symmetries of Fig 11A/B.


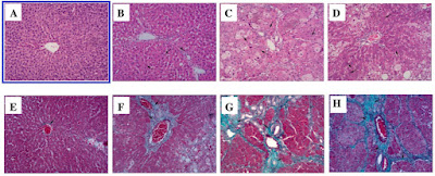
Consider now Figs 5 of [31], 2A/B of [33], 1A/B of [34], 2 of [35], 2A/C of [37], 2 of [46] In the upper left corners, two Hematoxylin-&-Eosin-stained slices of normal liver tissue tie them together, alternating as 'normal control' and 'treatment control' across the whole range of treatments. The more garish panels are Masson’s trichrome staining.
But look closer, and other image fragments recur, and the suite swiftly dissolves into a delirious phantasmagoria in which any microphotograph can be transformed into a microphotograph of anything else.


According to our sources, Lin was the cynosure of Guangxi, with students in awe of his productivity and success with grants and of the time-management skills that allow him to accomplish so much from the comfort of his office while spending so little time in the laboratory. This may change, as the criticism accumulates at PubPeer and circulates through Weibo [Mainland Chinese social media].
If the name 'Guangxi Medical University' seems familiar, it may be because a previous post looked at Jinmin Zhao and his trail of pictorial creativity in a different department, the Research Center for Regenerative Medicine. Zhao shrugged off the criticism he incurred, which had only minor impact on his publication record and none at all on his academic seniority. In the case of Xing Lin, his colleagues are probably aware by now of his credibility issues. One can speculate, though, that none of them are keen to lay an official complaint, which on the evidence would produce nothing except ill-will and bulges in the departmental carpet from having so much swept beneath it, and would have to be de-anonymised before the university would start a formal inquiry.
"Mr Bond, they have a saying in Chicago: 'One appearance of a sabot-shaped WB is happenstance. Twice is coincidence. The third time it's enemy action". Figs 7C [46], 4 [42], 7F [41]. The same applies to mRNA PCR blots. Figs 8 from "Protective effect of isoorientin-2″-O-α-L-arabinopyranosyl isolated from Gypsophila elegans on alcohol induced hepatic fibrosis in rats" (Huang et al 2012) [2], 7 from "Combination therapy with taurine, epigallocatechin gallate and genistein for protection against hepatic fibrosis induced by alcohol in rats" (Zhuo et al 2012) [7] and 3 from "Effect and mechanism of methyl helicterate isolated from Helicteres angustifolia (Sterculiaceae) on hepatic fibrosis induced by carbon tetrachloride in rats" (Huang et al 2012) [5]. The most recent papers from Lin's laboratory display a larger repertoire of Western Blots. If any researchers or students from Guanxi Medical University read this, I advise them to keep their own WBs and microphotography sequestered safely away.
SOURCES
[2]. "Protective effect of isoorientin-2″-O-α-L-arabinopyranosyl isolated from Gypsophila elegans on alcohol induced hepatic fibrosis in rats". QuanFang Huang, ShiJun Zhang, Li Zheng, Ming Liao, Min He, RenBin Huang, Lang Zhuo, Xing Lin (2012).Food & Chemical Toxicology. doi: 10.1016/j.fct.2012.03.044 [PubPeer].
[5]. "Effect and mechanism of methyl helicterate isolated from Helicteres angustifolia (Sterculiaceae) on hepatic fibrosis induced by carbon tetrachloride in rats". Quanfang Huang, Yongwen Li, Shijun Zhang, Renbin Huang, Li Zheng, Ling Wei, Min He, Ming Liao, Li Li, Lang Zhuo, Xing Lin (2012)
Journal of Ethnopharmacology. doi: 10.1016/j.jep.2012.08.018 [PubPeer].
[7]. "Combination therapy with taurine, epigallocatechin gallate and genistein for protection against hepatic fibrosis induced by alcohol in rats". Lang Zhuo, Ming Liao, Li Zheng, Min He, Quanfang Huang, Ling Wei, Renbin Huang, Shijun Zhang, Xing Lin (2012)
Biological & Pharmaceutical Bulletin. doi: 10.1248/bpb.b12-00548 [PubPeer].
[12]. "Antiviral activity of methyl helicterate isolated from Helicteres angustifolia (Sterculiaceae) against hepatitis B virus". Quanfang Huang, Renbin Huang, Ling Wei, Yongxing Chen, Shujuan Lv, Chunhong Liang, Xuerong Zhang, Fujiang Yin, Hongtao Li, Lang Zhuo, Xing Lin (2013)
Antiviral Research. doi 10.1016/j.antiviral.2013.09.007 [PubPeer].
[14]. "Asiatic acid from Potentilla chinensis attenuate ethanol-induced hepatic injury via suppression of oxidative stress and Kupffer cell activation". Jinbin Wei, Quanfang Huang, Renbin Huang, Yongxing Chen, Shujuan Lv, Ling Wei, Chunhong Liang, Shuang Liang, Lang Zhuo, Xing Lin (2013).
Biological & Pharmaceutical Bulletin. doi: 10.1248/bpb.b13-00634 [PubPeer].
[15]. "Protective effect of Millettia pulchra polysaccharide on cognitive impairment induced by D-galactose in mice". Xing Lin, Zhongshi Huang, Xiaoyu Yanping Rong, Shijun Zhang, Yang Jiao, Quanfang Huang, Renbin Huang (2014).
Carbohydrate Polymers. doi: 10.1016/j.carbpol.2013.09.037 [PubPeer].
[16]. "Protective effect of tormentic acid from Potentilla chinensis against lipopolysaccharide/D-galactosamine induced fulminant hepatic failure in mice". Xing Lin, Shijun Zhang, Renbin Huang, Shimei Tan, Shuang Liang, Xiaoyan Wu, Lang Zhuo, Quanfang Huang (2014).
International Immunopharmacology. doi: 10.1016/j.intimp.2014.02.009 [PubPeer].
[20]. "Helenalin attenuates alcohol-induced hepatic fibrosis by enhancing ethanol metabolism, inhibiting oxidative stress and suppressing HSC activation". Xing Lin, Shijun Zhang, Renbin Huang, Ling Wei, Shimei Tan, Shuang Liang, Yuanchun Tian, Xiaoyan Wu, Zhongpeng Lu, Quanfang Huang (2014).
Fitoterapia. doi: 10.1016/j.fitote.2014.03.020 [PubPeer].
[22]. "Pratensein attenuates Aβ-induced cognitive deficits in rats: enhancement of synaptic plasticity and cholinergic function". Ling Wei, Shujuan Lv, Quanfang Huang, Jinbin Wei, Shijun Zhang, Renbin Huang, Zhongpeng Lu, Xing Lin (2015).
Fitoterapia. doi: 10.1016/j.fitote.2015.01.017 [PubPeer].
[31]. "Loss of Raf kinase inhibitor protein is associated with malignant progression in hepatic fibrosis". Quanfang Huang, Ling Wei, Chunhong Liang, Jinlan Nie, Shengjuan Lu, Chunyuan Lu, Shimei Tan, Shujuan Lv, Lang Zhuo, Zhongpeng Lu, Xing Lin (2016).
Biomedicine & Pharmacotherapy. doi: 10.1016/j.biopha.2016.06.007 [PubPeer].
[32]. "Didymin induces apoptosis through mitochondrial dysfunction and up-regulation of RKIP in human hepatoma cells". Jinbin Wei, Quanfang Huang, Facheng Bai, Jun Lin, Jinlan Nie, Shengjuan Lu, Chunyuang Lu, Renbin Huang, Zhongpeng Lu, Xing Lin (2017).
Chemico-Biological Interactions. doi: 10.1016/j.cbi.2016.11.026 [PubPeer].
[33]. "Raf Kinase Inhibitory Protein Down-Expression Exacerbates Hepatic Fibrosis In Vivo and In Vitro". Quanfang Huang, Chunhong Liang, Ling Wei, Jinlan Nie, Shengjuan Lu, Chunyuan Lu, Lang Zhuo, Zhongpeng Lu, Xing Lin (2016).
Cellular Physiology & Biochemistry. doi: 10.1159/000452524 [PubPeer].
[34]. "Didymin Alleviates Hepatic Fibrosis Through Inhibiting ERK and PI3K/Akt Pathways via Regulation of Raf Kinase Inhibitor Protein". Xing Lin, Faicheng Bai, Jinlan Nie, Shengjuan Lu, Chunyuang Lu, Xunshuai Zhu, Jinbin Wei, Zhongpeng Lu, Quanfang Huang (2016).
Cellular Physiology & Biochemistry. doi: 10.1159/000453194 [PubPeer].
[35]. "Didymin ameliorates hepatic injury through inhibition of MAPK and NF-κB pathways by up-regulating RKIP expression". Quanfang Huang, Facheng Bai, Jinlan Nie, Shengjuan Lu, Chunyuang Lu, Xunshuai Zhu, Lang Zhuo, Xing Lin (2017).
International Immunopharmacology. doi: 10.1016/j.intimp.2016.11.028 [PubPeer].
[37]. "Trolline Ameliorates Liver Fibrosis by Inhibiting the NF-κB Pathway, Promoting HSC Apoptosis and Suppressing Autophagy". Facheng Bai, Quanfang Huang, Jinlan Nie, Shengjuan Lu, Chunyuan Lu, Xunshuai Zhu, Yuxin Wang, Lang Zhuo, Zhongpeng Lu, Xing Lin (2017).
Cellular Physiology & Biochemistry. doi: 10.1159/000485009 [PubPeer].
[38]. "Methyl Helicterate Inhibits Hepatic Stellate Cell Activation Through Modulation of Apoptosis and Autophagy". Xiao-Lin Zhang, Zhao-Ni Chen, Quan-Fang Huang, Fa-Cheng Bai, Jin-Lan Nie, Sheng-Juan Lu, Jin-Bin Wei, Xing Lin (2018).
Cellular Physiology & Biochemistry. doi: 10.1159/000495390 [PubPeer].
[41]. "Methyl helicterte ameliorates liver fibrosis by regulating miR-21-mediated ERK and TGF-β1/Smads pathways". Quanfang Huang, Xiaolin Zhang, Facheng Bai, Jinlan Nie, Shujuan Wen, Yuanyuan Wei, Jinbin Wei, Renbin Huang, Min He, Zhongpeng Lu, Xing Lin (2019).
International Immunopharmacology. doi: 10.1016/j.intimp.2018.11.006 [PubPeer].
[42]. "Methyl helicterate inhibits hepatic stellate cell activation through downregulating the ERK1/2 signaling pathway". Yuanyuan Wei, Xiaolin Zhang, Shujuan Wen, Shaode Huang, Quanfang Huang, Shengjuan Lu, Facheng Bai, Jinlan Nie, Jinbin Wei, Zhongpeng Lu, Xing Lin (2019).
Journal of Cellular Biochemistry. doi: 10.1002/jcb.28756 [PubPeer].
[45]. "Helenalin from Centipeda minima ameliorates acute hepatic injury by protecting mitochondria function, activating Nrf2 pathway and inhibiting NF-κB activation". Yan Li, Yongmei Zeng, Quanfang Huang, Shujuan Wen, Yuanyuan Wei, Ya Chen, Xiaolin Zhang, Facheng Bai, Zhongpeng Lu, Jinbin Wei, Xing Lin (2019).
Biomedicine & Pharmacotherapy. doi: 10.1016/j.biopha.2019.109435 [PubPeer].
[46]. "Methyl helicterilate ameliorates alcohol-induced hepatic fibrosis by modulating TGF-β1/Smads pathway and mitochondria-dependent pathway". Shujuan Wen, Yuanyuan Wei, Xiaolin Zhang, Facheng Bai, Shimei Tan, Jinlan Nie, Jinbin Wei, Xing Lin (2019).
International Immunopharmacology. doi: 10.1016/j.intimp.2019.105759 [PubPeer].
































No comments:
Post a Comment